Dantų tiesinimas breketais: nuo komplekso prie tiesios šypsenos

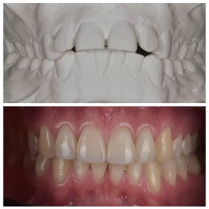
Suaugęs pacientas kreipėsi dėl stipriai išreikštos viršutinių priekinių dantų protruzijos ir tarpų tarp dantų. Pagal sąkandžio patologiją ir veido profilį rekomenduotas ortodontinis gydymas su ortognatine operacija. Pacientui jos atsisakius, parinktas dantų tiesinimas breketais.

Dantys prieš breketus ir po jų

    Paciento situacija

    Pacientas, įvertinęs visas aplinkybes, norėjo gydymo tik viršutiniam žandikauliui. Mūsų gydytoja odontologė – ortodontė Agnė Kerienė parinko abiejų žandikaulių kamufliažinį gydymą, kurį sudarė dantų tiesinimas beligatūriniais breketais ir sąkandžio stabilizavimas plombavimu. Gydymu siekta geresnio sukandimo fiksavimo ir stabilumo.

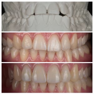
    Breketai: gydymo planas

    Atlikus išsamius paciento burnos ertmės ir dantų tyrimus, pradėtas dantų tiesinimas breketais:

    • Beligatūriniai breketai suklijuoti ant viršutinio ir apatinio žandikaulių dantų | gyd. odontologė – ortodontė Agnė Kerienė
    • Vizitai pas ortodontą planuoti kas 4 – 5 savaites
    • Dantų tiesinimas breketais truko ~ 2 metus
    • Po gydymo dantų padėtys užlaikytos fiksuotais ir išimamais retenciniais aparatais

    Burnos higiena su breketais

    Dantų tiesinimas breketais ir šio gydymo sėkmė priklauso nuo paciento bendradarbiavimo su ortodontu: rekomendacijų laikymasis, reguliarūs vizitai, ortodonto paskirto gydymo termino laikymasis.

    Šiuo atveju pacientas laikėsi visų rekomendacijų, kurias pateikė ortodontas:

    • Palaikė gerą asmeninę burnos higieną
    • Kas 5 mėnesius atlikdavo profesionalią burnos higieną | burnos higienistės Jolita Šlapšienė ir Ingrida Lenkauskienė

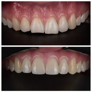
    Sąkandžio stabilizavimas ir dantų nudilimų atkūrimas

    Dėl netaisyklingo sąkandžio per ilgą laiką nudilo paciento dantys. Be to, sąkandį reikėjo stabilizuoti plombomis.

    Dėl šių priežasčių atliktas:

    • Estetinis plombavimas, juo atkurta dantų anatomija ir simetrija | gyd. odontologė Iveta Miliauskienė

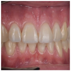
    Pasiektas rezultatas

    Gydymu, kurį sudarė breketai ir estetinis plombavimas, pasiekta optimalaus sąkandžio. Esant tokio laipsnio protruzijai, tobulas rezultatas galimas tik tuomet, kai ortodontinis gydymas atliekamas su ortognatine operacija.

    Šiuo atveju pritaikytas kamufliažinis gydymas (breketai ir estetinis plombavimas) padėjo:

    • Optimaliai koreguoti dantų funkciją ir estetiką;
    • Sustabdyti dantų nusidėvėjimo procesą;
    • Estetiniu plombavimui maksimaliai atkurti dantų estetika.

    Dėkojame pacientui už pasitikėjimą!

    Paciento dantų modelis su protruzija Dantys prieš ir po tiesinimo beligatūriniais breketais Dantys prieš breketus ir po jų Dantys prieš ir po gydymo beligatūriniais breketais Dantys prieš ir po estetinio plombavimo Paciento dantys po tiesinimo breketais

    Sekite mus socialiniuose tinkluose:

    Registruokitės vizitui

    Rezultatų nerasta