Peržiūrėkite atnaujintą šypsenų galeriją: dantys prieš ir po gydymo!
Dantų emalio atstatymas – tai nudilusio, nusidėvėjusio ar korozijos paveikto emalio atkūrimas specialiomis plombinėmis medžiagomis (estetinis plombavimas), dantų laminatėmis (estetinis protezavimas) ar dantų protezavimu.
Dantų emalis – tai kiečiausias žmogaus organizmo audinys. Tam yra rimta priežastis: dantų emalis plonu, bet tvirtu sluoksniu dengia danties vainiką, kuriame slypi jautrūs vidiniai danties audiniai, ir suteikia jiems apsaugą. Žmonių gyvenimo trukmei ilgėjant, dantų emalis taip pat savo funkciją turi atlikti ilgiau.
Dantų emalis yra peršviečiamas, todėl mūsų dantų spalva priklauso ne nuo jo, o nuo viduje esančio dentino. Dentinas gali būti baltas, balkšvas, pilkšvas arba gelsvas.
Mokslininkai ir gydytojai odontologai sutaria, kad dantų emalio nusidėvėjimas yra natūralus procesas. Dantų emalis „sensta“, kaip kad senėjimą patiria mūsų oda ir kiti organai. Skirtumas tik vienas – jei odos senėjimą pastebime išoriškai, lengvą dantų emalio nusidėvėjimą pastebėti sunkiau.
Pastebime tik tuomet, kai dantų kramtomieji krašteliai stipriai pakinta, o dantų vainikėliai stipriai sutrumpėja. Tačiau nudilęs (nusidėvėjęs) dantų emalis apie save išduoda pojūčiais: dantys ir dantenos tampa jautrūs arba skauda.
Vienas iš būdų, kaip atliekamas dantų emalio stiprinimas – tai subalansuota mityba ir tinkamas dantų valymas. Dantų emalio erozija yra skatinama gazuotais ir saldžiais gėrimais, rūgščiais vaisiais ir jų sultimis, kitu rūgščiu maistu, kuris burnos ertmėje sukuria rūgščią terpę.
Odontologai dažnai girdi klausimą, ar dantų emalis atauga.
Priešingai nei kiti organizmo audiniai, dantų emalis neturi gyvų ląstelių ir neauga, todėl negali regeneruotis (ataugti) natūraliu ar dirbtiniu būdu. Mokslininkai tebeieško būdų, kuriais būtų atkuriamas dantų emalis.
Nors šiuo metu dantų emalis negali būti ataugintas, jis gali būti sustiprintas – mineralinėmis medžiagomis arba padedant jam nesusidėvėti.
Hidroksilapatitas, fosfatai, kalcis – tai sudedamosios dalys, kurių turinčios dantų priežiūros priemonės padeda saugoti emalį. Mūsų odontologai rekomenduoja, kad kokybiška dantų pasta su fluoru ir (ar) hidroksilapatitu, geros sudėties burnos skalavimo skystis su fluoru būtų vartojami kasdien.
Dantų emalis taip pat gali būti saugomas dantų kapa miegui. Dantų kapa miegui mažinamas dantų emalio nusidėvėjimas, kurį skatina dantų griežimas naktį (bruksizmas).
Gydytojai odontologai išskiria keturias priežastis, dėl kurių kyla dantų emalio erozija:
Nudilusio, nusidėvėjusio ar korozijos paveikto dantų emalio atstatymas ir jo metodas priklauso nuo danties audinių pažeidimo lygio:
Gydytoja odontologė
Dantų ir dantų emalio pažeidimai dėl ankstyvame amžiuje neatlikto dantų tiesinimo ir ligos, vadinamos fluoroze.
Gydymas atliktas 3 etapais. Ilgiausią gydymo etapą sudarė dantų tiesinimas kapomis.
Dėl žandikaulio ir dantų anatomijos pacientui reikalinga chirurginė intervencija.
Pacientui pasirinkus kompromisinį sprendimą, estetinis plombavimas atliktas uždarant tarpus tarp dantų ir atkuriant priekinių dantų estetiką.
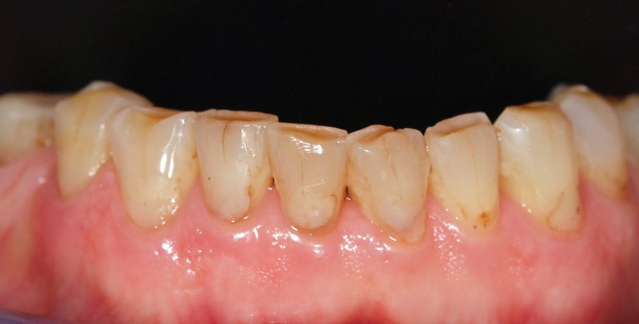
Kvadratinė dantų forma, iškreipta centro linija, netolygi spalva – tai nusiskundimai, dėl kurių pacientė kreipėsi dėl anksčiau kitur atlikto estetinio plombavimo.
Amžiniai pokyčiai, nulėmę patamsėjusią dantų emalio spalvą, žemą sąkandį, funkcinį diskomfortą.
Stipriai išreikšta priekinių dantų protruzija. Siekiant idealaus rezultato, jos gydymui būtų reikalinga ortognatinė operacija.
Pacientės lūkestis: tolygesnis dantų emalis po dantų tiesinimo.
Estetinis plombavimas atliktas 6 priekiniams dantims.
Prieš kurį laiką atlikus dantų tiesinimą, dantis atsistačius į reikiamas pozicijas, išryškėjo estetiniai defektai: nevienoda dantų forma, ilgiai, spalva.
Dantų tiesinimas padeda pasiekti įspūdingų rezultatų. Visgi pasitaiko, kad tarpai tarp dantų pilnai neužsidaro ir šypsenoje lieka „fragmentai“ su mažiau ar daugiau išreikštais tarpeliais.
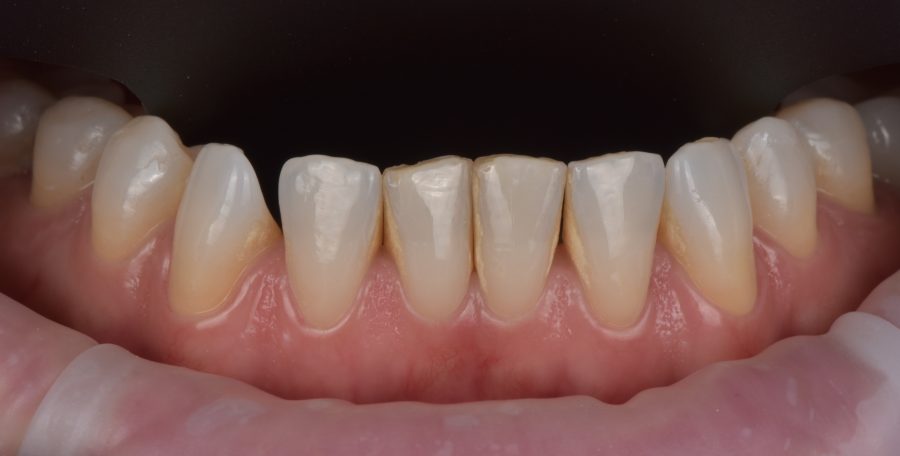
Visų dantų nudilimas, danteninė šypsena, nesuprotezuotas krūminis dantis.
Siekiant išsaugoti nuosavus dantis, buvo atliktas kompleksinis gydymas. Juo atkurta nuosavų dantų estetika ir funkcija. Pašalintas diskomfortas, kurį kėlė seni krūminių dantų vainikėliai.
1 etapas | funkcijos atkūrimas
2 etapas | funkcijos ir estetikos atkūrimas
Pokyčiai įgyvendinti keliais etapais: pasirengimas dantų tiesinimui, dantų tiesinimas ir estetikos atkūrimas.
1 etapas: pasirengimas dantų tiesinimui
2 etapas: dantų tiesinimas
3 etapas: estetikos atkūrimas
Iš pirmo žvilgsnio ši šypsena – graži ir simetriška. Tačiau priekiniai dantys buvo padilę – tą nulėmė rūgštinė aplinka burnoje ir dantų griežimas. Nudilimai buvo išryškėję kandamuosiuose dantų kraštuose ir paviršiuje ties dantenomis.
Šiuos šypsenos defektus koregavome minimaliai invazyvia technika:
Gydymas minimalus, rezultatas – efektingas!
„Bangelės“ – tai natūralią nuosavų dantų anatomiją atkartojanti linija. Ją sugrąžinti – tikra estetinio plombavimo meistrystė. Daug paprasčiau būtų plombomis „nubrėžti“ tiesią dantų liniją, tačiau ji neturėtų tokio natūralaus efekto. Galutinai jis išryškės, kai bus koreguoti ir viršutiniai dantys.
Dantų linijos atkūrimas priklauso nuo daugelio aplinkybių, taip pat – ir nuo amžiaus. „Bangelės“ – jauno žmogaus dantų požymis. Todėl banguota dantų linija jaunina vidutinio amžiaus šypsenos savininką.
Tuo tarpu vyresniems žmonėms tinka tiesi atkurtų dantų linija, nes taip atrodo ir jų nuosavi natūraliai nusidėvėję dantys.
Šios šypsenos korekcijai prireikė beveik visų dantų atkūrimo, kurį sudarė krūminių dantų nudilimų atstatymas, šoninių ir priekinių dantų viso paviršiaus restauracija. Estetiniu plombavimu buvo koreguoti:
Dėkojame pacientei už kantrybę ir gydymui skirtą laiką. Jo prireikė daugiau nei įprastai. Rezultatas – naujam gyvenimui prikelta šypsena.
Tai dar vienas atvejis, kai koreguojame svetur atliktą dantų restauraciją:
Šypsenos restauracija 3 vizitų metu: puikus pavyzdys, kaip atkuriami visi dantys trumpam sugrįžus iš užsienio. Atliekant estetinį priekinių dantų plombavimą, niekas nenugręžta: maksimaliai išsaugoti nuosavi dantys.
Tai, kas buvo efektyvu prieš 10 metų, šiandien nebeveiksminga. Tai galioja ir estetiniam dantų plombavimui. Seniai atliktas plombavimas, rečiau jį prižiūrint, gali atrodyti neestetiškai. Taip nutiko ir šiuo atveju, kurio korekciją sudarė 8 priekinių viršutinių dantų estetinis plombavimas.
Estetiniu plombavimu buvo atkurta dantų lanko centro linija, forma ir spalva.
Gydymo, kurį sudaro estetinis plombavimas, atsiliepimai rodo, kad rezultatas viršija pacientų lūkesčius – jų šypsenos atrodo lyg geresnė tikrosios šypsenos versija.
Maloni klinikos aplinka ir puikus aptarnavimas. Estetinis plombavimas pranoko lūkesčius! Smagu, kad dantys ne tik baltučiai, bet ir labai natūralios išvaizdos. Nuoširdžiai rekomenduoju!
Dėkoju odontologei Aistei Gigei už profesionalų, gerą darbą, šiltą ir nuoširdų bendravimą. Rekomenduoju!
Tikrai tik patys geriausi atsiliepimai jums, gydytojos.
Investicija į estetinį plombavimą yra mažesnė nei renkantis kitą dantų restauracijos metodą:
Gydytojai odontologai įspėja, jog negalima valyti dantų iš karto po rūgštaus maisto ar gėrimų. Jei dantys valomi iš karto, burnos ertmėje esančios rūgštys yra „įtrinamos“ į emalio paviršių. Taip vienu metu dantų emalis yra eroduojamas („nuėsdinamas“) ir nubrūžinamas, ypač, jei naudojamas kietas šepetėlis.
Po rūgštaus maisto dantis reikia valyti tik praėjus 20 – 30 minučių po valgymo. Būtina naudoti minkštą šepetėlį, jo stipriai nespausti, laikyti jį 45° laipsniu kampu link dantenų.
Jei, pradėję naudoti naują šepetėlį, po kelių dienų ar savaičių pastebite, jog šereliai išsiplėtė į šonus, tarkitės su odontologu ar burnos higienistu dėl tinkamo dantų šepetėlio spaudimo ir laikymo. Priešingu atveju dantų valymo metu sudarote aplinkybes, dėl kurių vyksta dantų emalio erozija.
Pacientai, kuriems atliekamas estetinis plombavimas ar kitas dantų gydymas, dažnai klausia, kaip sustiprinti dantų emalį.
Dantų emalio stiprinimas – tai jo audinių remineralizacija dantų priežiūros priemonėmis, kuriomis į emalį įterpiamos jo sudėtį atkartojančios medžiagos – kalcis, fosfatai, hidroksilapatitas. Jomis sustiprintas dantų emalis yra atsparesnis, atliekant kasdienę kramtymo funkciją. Dantų pasta su fluoru ir burnos skalavimo skystis su fluoru yra priemonės, kuriomis atliekamas dantų emalio stiprinimas.
Kaip vyksta dantų emalio stiprinimas? Burnos ertmėje esanti rūgštinė terpė iš danties emalio ištraukia mineralus, jį silpnina. Dantų pastoje esantis fluoridas „sugaudo“ reikiamus mineralus iš seilių ir juos įterpia į dantų emalį. Taip atkuriamas mineralų balansas, stiprinamas dantų emalis.
Dantų emalio stiprinimas – tai procesas, kuriame svarbų vaidmenį atlieka seilės. Seilės yra dantų emaliui reikalingų mineralų šaltinis ir skatina medžiagų, kovojančių su bakterijomis, gamybą. Seilėmis iš burnos pašalinamos nereikalingos medžiagos, neutralizuojama („atskiedžiama“) burnos ertmėje susiformavusi rūgštinė terpė.
Taigi, seilės padeda išsaugoti sveikus dantis. Dėl šios priežasties svarbu gydyti būklę, kuri vadinama burnos sausumas (kserotomija): nesigaminant seilėms, nukenčia ir dantų emalis.
Burnos sausumas yra gydomas naudojant burnos skalavimo skysčius, turinčius drėkinamąjį poveikį. Mūsų odontologijos klinika „Geras odontologas“ rekomenduoja šią priemonę: „IsoDent Fluor“ dantų skalavimo skystis nuo burnos džiūvimo.
Rodoma 9 iš
Rezultatų nerasta