Breketai ir priekinių dantų implantai neišgydusių dantų atkūrimui

Breketai – tai dantų tiesinimas, kuris reikalauja pasiryžimo, tačiau rezultatai viršija lūkesčius. Šiuo atveju dantų tiesinimas breketais atliktas siekiant sudaryti erdvės dviems užuomazgų neturėjusiems priekiniams dantims. Kitaip tariant, 2 priekiniai dantys buvo neišdygę dėl vietos stokos, jų atkūrimui naudoti dantų implantai.

Priekinių dantų implantai ir karūnėlės

    Kompleksinis dantų gydymas: 2,5 metų

    Kompleksinis dantų gydymas atliktas keliais etapais, kurių bendra trukmė – 2,5 metų. Šis atvejis įdomus tuo, jog dantų protezavimas atliktas priekiniams dantims, kurie nebuvo išdygę. Priekinių dantų protezavimas reikalauja daug įgūdžių, siekiant atkurti dantis, kurie forma, spalva ir lygiavimu būtų kuo artimesni nuosaviems paciento dantims.

    1 dantų gydymo etapas

    • Protinio danties rovimas ortodontinio gydymo tikslu | burnos, veido ir žandikaulių chirurgė Indrė Zykutė-Bružienė
    • Beligatūriniai breketai ir dantų tiesinimas | gyd. odontologė – ortodontė Simona Bražiulienė
    • „Bollard“ dantų implantai kaip atramos ortodontiniam gydymui | Indrė Zykutė – Bružienė
    • Reguliari profesionali burnos higiena su breketais | burnos higienistė Ingrida Lenkauskienė

    2 dantų gydymo etapas | po 2 metų

    Pilnavertė dantų funkcija ir estetika

    Atkūrus taisyklingą sąkandį, dantys netraumuojami, nesiformuoja nauji nudilimai. Atkūrus pilnavertį priekinių dantų lanką, sugrąžinta priekinių dantų estetika.

    Mūsų odontologai Kaune, klinikoje „Geras odontologas“ pabrėžia, kad svarbu atkurti ne tik dantų estetiką, bet ir jų funkciją. Tai – svarbus bendrą organizmo sveikatą užtikrinantis veiksnys.

    Daugiau mūsų atkurtų šypsenų, kurioms atliktas kompleksinis gydymas (breketai, protinio danties rovimas, dantų implantai, estetinis plombavimas), peržiūrėkite čia.

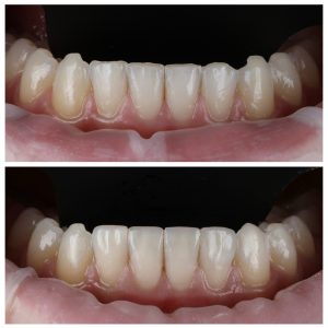
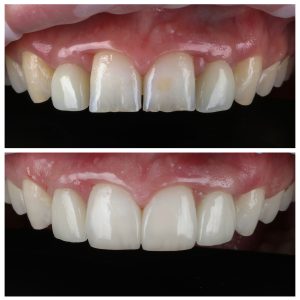
    Pacientės dantys po dantų tiesinimo breketais ir dantų protezavimo Viršutiniai priekiniai dantys prieš ir po breketų ir protezavimo

    Estetinis plombavimas prieš ir po ant priekinių apatinių dantų Priekinių dantų implantai ir karūnėlės

     

     

    Sekite mus socialiniuose tinkluose:

    Registruokitės vizitui

    Rezultatų nerasta