Amžiaus nulemtų pokyčių korekcija: dantų laminatės ir karūnėlės

Dėl natūralių amžinių pokyčių, sąkandžio sužemėjimo ir senų plombų išryškėjo pakitusi dantų estetika. Ją koregavome protezavimu, kurį sudarė dantu laminatės ir dantų karūnėlės.

    Pacientės situacija

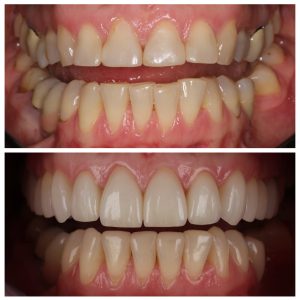
    Dėl natūralių amžinių pokyčių, sąkandžio sužemėjimo ir senų plombų išryškėjo pakitusi dantų estetika. Šie pokyčiai įvyksta pamažu, todėl ne visuomet pacientams pavyksta įvertinti jų apimtį:

    • Netolygią senų plombų spalvą
    • Neharmoningus dantų pločius
    • Dantų nudilimus
    • Diskomfortą tarpdančiuose

    Kompleksinis dantų gydymo planas

    Kompleksinis dantų gydymo planas, kurį sudarė ir koordinavo gyd. odontologė – ortopedė Eglė Viliuvienė, apėmė tris etapus.

    Parengiamasis etapas:

    Dantų protezavimas:

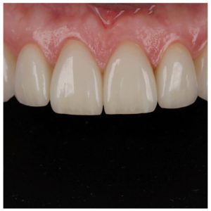
    • Dantų laminatės (bemetalė keramika) ant 10 viršutinių priekinių dantų | Eglė Viliuvienė
    • Dantų karūnėlės ir dantų užklotai (cirkonio keramika) ant šoninių viršutinių priekinių dantų

    Estetinis plombavimas:

    • Nors pacientė iš pradžių buvo nusiteikusi koreguoti tik viršutinę dantų eilę, gydymo eigoje apsisprendė atkurti apatinius dantis estetiniu plombavimu
    • Estetinis plombavimas atliktas atkuriant apatinių dantų kandamuosius kraštelius | gyd. odontologė Aurelija Kuzminskienė
    • Krūminių dantų plombavimas, kuriuo atkurtas šių dantų aukštis | Aurelija Kuzminskienė

    Rezultatas

    Rezultatas, kurio pasiekėme – realizuotas pacientės lūkestis:

    • Simetriška ir harmoninga šypsena
    • Tolygiai, natūraliai šviesūs dantys
    • Sugrąžintas dėl amžiaus prarastas sąkandžio aukštis
    • Pašalintas funkcinis diskomfortas

    Mūsų gydytojų komandai tai – dar viena gražus atvejis, kuris paruošta kokybiškai atlikti kramtymo, kalbėjimo ir šypsenos funkcijas dešimtmečiams į priekį. Dėkojame pacientei už pasitikėjimą!

    Laminatės ir karūnėlės ant pacientės dantų Pacientės dantys prieš ir po kompleksinio gydymo Laminatės ant priekinių dantų Dantų laminatės ir vainikėliai prieš ir po gydymo

    Sekite mus socialiniuose tinkluose:

    Registruokitės vizitui

    Rezultatų nerasta