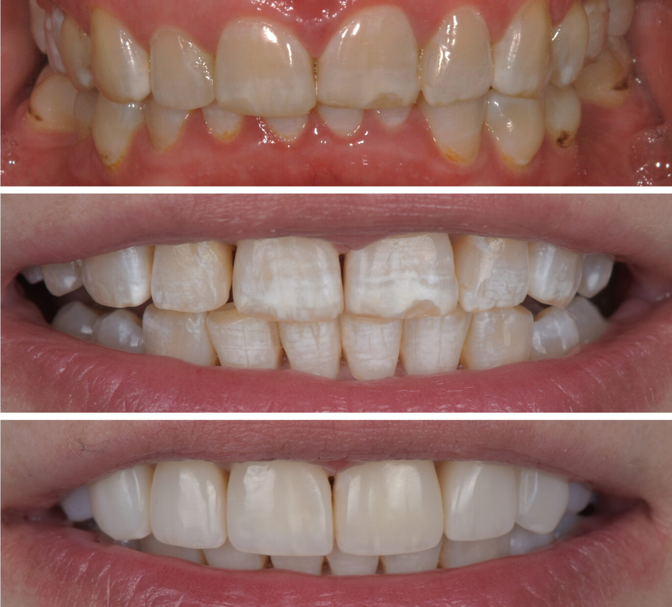
Peržiūrėkite atnaujintą šypsenų galeriją: dantys prieš ir po gydymo!
Gyvenkite ir keliaukite be dantų skausmo. Aplenkite dantų ėduonį!
Autentiška šypsena. Meistriškai pakoreguota. Suteikite jai antrą kvėpavimą!
Kramtykite be skausmo. Juokitės be gėdos. Susigrąžinkite džiaugsmą šypsotis!
Peržiūrėkite mūsų atkurtas šypsenas: dantų implantacija, protezavimas, estetinis plombavimas prieš ir po gydymo.
Gydymą, kurį sudaro dantų implantai, danties rovimas, kaulo priauginimas ir sinuso pakėlimas, atliekame su sedacija.
Specializuota e. parduotuvė isodent.lt: dantenų uždegimo gydymas, dantų kapų ir dantų protezų priežiūra.
Odontologijos klinika Kaune „Geras odontologas“ jūsų dantų gydymu rūpinasi taip, kad galėtumėte dalintis – mano odontologas yra geras. Šie odontologai Kaune virš 30 metų padeda išsaugoti sveikas ir autentiškas šypsenas profesionaliu gydymu, patirtimi ir technologijomis.
Mūsų odontologai nuoširdžiai rūpinasi, kad gyventumėte be dantų skausmo, kramtytumėte be diskomforto, šypsotumėtės be gėdos. Jūsų dantų sveikata mums rūpi labiau nei jums. Taip apie mus kalba pacientai, kurių burnos ertmės sveikatą palaikome ilgus metus.
Apjungiame tai, kas svarbiausia – patirtį, kuria išsiskiria mūsų odontologai Kaune, ir technologijų pažangą. Per daugiau nei 30 veiklos metų technologijoms skiriame išskirtinį dėmesį. Tapome pirmąja visiškai skaitmenizuota odontologijos klinika Kaune, technologijas įdiegėme kiekviename gydymo etape.
Mūsų odontologai, burnos chirurgas, veido ir žandikaulių chirurgas, burnos higienistės – tai specialistai, kurių profesionalumas ir patirtis matosi iš pirmo žvilgsnio. Jie nuolat gilina savo įgūdžius ir padeda kitiems juos formuoti universitete ar specializuotuose kursuose.
Odontologijos klinikos, Kaune veikiančios virš 30 metų, aplinką kūrėme galvodami apie jus. Ši odontologijos klinika – jauki, erdvi, patogi, lengvai pasiekiama, su atskira parkavimo aikštele. Odontologijos klinikos lankytojų akį džiugina estetiškas interjeras, autoriniai meno kūriniai ir augalų salos.
Šios odontologijos klinikos pacientams lengva rūpintis dantų funkcija ir estetika. Visą gydymą, kurį apima odontologija, suteikiame vienoje vietoje. Čia profesionali ir skubi odontologo pagalba užtikrinama visais atvejais: kai reikalinga burnos (dantų) higiena, estetinis plombavimas, kapos ir breketai, dantų balinimas, dantų implantai su sedacija ir dantų protezavimas.
Rūpinomės, kad odontologijos klinikos aplinkoje lengvai galėtų judėti visi, taip pat ir pacientai su negalia. Pirmajame odontologijos klinikos aukšte viskas pritaikyta judėjimui su vežimėliu ar vaikštyne: įėjimas į patalpas, erdvūs koridoriai, gydymo ir rentgeno diagnostikos kabinetai.
Pateikti įkainiai yra orientaciniai. Galutinė kaina gali kisti priklausomai nuo dantų ir burnos būklės sudėtingumo.
Klinikos įkūrėja, gydytoja odontologė – periodontologė
Medicinos gydytoja, burnos, veido ir žandikaulių chirurgė
Gydytoja odontologė – endodontologė
Gydytoja odontologė
Gydytoja odontologė – ortopedė
Gydytoja odontologė – ortodontė
Gydytojas odontologas, burnos chirurgas
Gydytoja anesteziologė – reanimatologė
Burnos higienistė
Burnos higienistė, gydytojo odontologo padėjėja
Gydytojo odontologo padėjėja
Vyr. administratorė
Marketingo specialistė
Jau 30 metų džiuginame puikiais rezultatais!
Užeini ir supranti, kad visiems rūpi tavo net ir mažos dantukų problemos, nuo administratorės iki gyd. odontologės ir viso personalo. Pasiūlyti keli sprendimo būdai leidžia pačiam laviruoti ir apsispręsti tiek laiko, ilgaamžiškumo ir pinigine prasme. Šaunus kolektyvas!
Rekomenduoju šią kliniką kaip vieną iš geriausių. Buvau maloniai priimta kiekvieną apsilankymą. Norėjau per trumpą laiką susitvarkyti visas problemas ir abejojau, ar tai bus įmanoma. Sužavėjo gydytojos Irenos patirtis ir sugebėjimai. Sudėtingas danties traukimas užtruko gan trumpai ir užgijo greitai. Lankiausi pas daugelį dantistų ir galiu užtikrinti, kad nebenoriu daugiau niekur kitur kreiptis, tik į šią kliniką.
Sakyčiau, pati geriausia dantistė. Dabar naujoj vietoj nuo automobilio iki kėdės viskas pritaikyta neįgaliesiems, nei vieno slenkstuko. Įranga vis naujinama. Labai bijau dantistų, tai visada nuskausmina ir pataiso ilgam. Taisom visa šeima, žmona, vaikai. Jau tapo kaip ir šeimos dantistė.
30 metų su GERU ODONTOLOGU.
Kol neapsilankiau Irenos Zykuvienės odontologijos klinikoje, net neįsivaizdavau, kad Lietuvoje gali būti tokios aukštos kultūros ir profesionalumo klinika su šauniais odontologais. Labai ačiū šiai klinikai. Rekomenduoju visiems čia apsilankyti.
Po apsilankymo šioje klinikoje dingo baimė lankytis pas odontologą. Aptarnavimas nerealiai malonus, personalas labai draugiškas ir paslaugus, suteikia visą informaciją be jokių išvedžiojimų. Rekomenduoju šimtu dešimt procentų visiems, kuriems reikia odontologų paslaugų.
Tikrai nemaniau, kad apskritai iš gydytojų tokio rūpesčio įmanoma sulaukti, todėl esu be galo dėkinga šiai komandai už nuoširdumą, pagalbą ir rūpestį, kurį iš jos gavau. Man teko pakankamai dažnai ir šiltai su šia klinika susipažinti iš vidaus, kažkuriuo metu net jausdavausi kaip namie. Labai ačiū už tokį nerealiai stiprų palaikymą, komunikuojant su gydytojais ir rūpestį viso gydymo metu.
Pati geriausia klinika, o taip pat ypač profesionalūs gydytojai, chirurgai, personalas. Ačiū jiems jau 23 metai.
Rekomenduoju, daugelį metų taisomės dantis tik čia.
Nuostabios gydytojos, puikus aptarnavimas, švari, jauki aplinka, profesionalumas aukščiausio lygio, visą gyvenimą bijojau odontologų, čia visas baimes baigiu įveikti ir laukiu kito vizito jau be baimės. Dideliausias ačiū gyd. odontologei Irenai Zykuvienei ir visai visai jos komandai!!
Geros ir kokybiškos paslaugos. Jeigu anksčiau bijojote odontologų, laikas į Geras odontologas.
Lankiausi „Geras odontologas“ – tikrai geras, labai patiko, malonus, greitas ir profesionalus aptarnavimas.
„Geras odontologas“: odontologijos klinika Kaune, veikianti nuo 1994 metų. Ją įkūrė ir jai vadovauja gydytoja odontologė Irena Zykuvienė. Per 30 veiklos metų ji subūrė patyrusią komandą, kurioje šiuo metu – daugiau nei 20 specialistų, teikiančių dantų gydymą.
„Geras odontologas“ yra privati odontologijos klinika, viena pirmųjų tokio pobūdžio klinikų Kaune. Pirmuosius veiklos dešimtmečius ji buvo žinoma kaip Irenos Zykuvienės odontologijos klinika. Pastarąjį dešimtmetį šį pavadinimą papildė prekės ženklas „Geras odontologas“. Abu pavadinimai žymi tą pačią kliniką.
Mūsų tikslas – profesionaliu gydymu, patirtimi ir technologijomis išsaugoti jūsų sveiką ir autentišką šypseną. Siekdami būtų jūsų geriausiu odontologu, nuolat tobulėjame:
Veikiame 30 metų ir augame kartu su savo pacientais. Jie pas mus gydosi ne tik šeimomis, bet ir kartomis: pradėję gydytis nuo vaikystės, dabar patys atveda savo vaikus.
Ilgamečiams klinikos pacientams esame „savas“ odontologas, kuris pataria dantų sveikatos klausimais visais gyvenimo etapais.
Pastaruosius trejus metus iš eilės esame pripažinti kaip „TOP įmonė“ Lietuvoje ir Kaune.
Mūsų komandoje – gydytojai iš pašaukimo. Jiems nuoširdžiai rūpi jūsų dantų sveikata.
Mūsų gydytojai odontologai kasdien dirba profesionaliai, siekia meistriškumo, vadovaujasi aukštais etikos standartais, bendrauja ir bendradarbiauja su pacientais.
Mūsų specialistai – gydytojai odontologai ir burnos higienistės – turi ilgos ir svarios patirties. Gydytojų odontologų patirties vidurkis yra 14 metų. Burnos higienisčių patirties vidurkis – 16 metų.
Mūsų komandoje yra gydytojų, kurie dėsto savo specializacijos kursą odontologijos studentams universitete arba veda mokymus kitiems odontologams.
Mūsų klinikos odontologai, rūpindamiesi jūsų dantų sveikata, glaudžiai bendradarbiauja tarpusavyje. Taip galime pasiekti geriausių rezultatų.
Gydymui klinikoje „Geras odontologas“ galite užsiregistruoti Jums patogiausiu būdu:
Vizitui taip pat galite užsiregistruoti aplankę mus adresu J. Basanavičiaus al. 54, Kaunas.
Mums rūpi, kad į kliniką atvyktumėte Jums patogiu metu ir gydymą gautumėte kuo anksčiau. Jūsų registracijos metu visuomet pasiūlome artimiausią galimą vizitą. Tais atvejais, kai pasiūlyta vizito data netinka (yra per toli ar sutampa su Jūsų planuojama kelione), būtinai susisiekiame su Jumis, jei gydytojo grafikas atsilaisvina ir galime pasiūlyti ankstesnį vizitą.
Klinikoje „Geras odontologas“ už suteiktą dantų gydymą galite atsiskaityti Jums patogiausiu būdu:
Apie gydymo finansavimo galimybes išsamiau skaitykite Finansavimas.
Užsiprenumeruokite naujienlaiškį!
Rodoma 9 iš
Rezultatų nerasta