Peržiūrėkite atnaujintą šypsenų galeriją: dantys prieš ir po gydymo!
Dantų implantai sugrąžina dantų funkcijas, kurias sudaro kramtymas, kalbėjimas, dantų estetika, kitų dantų ir žandikaulio kaulo tausojimas. Dantų implantacija – tai saugus, pažangus ir ilgaamžis dantų atkūrimas, kai prarasti vienas, keli ar visi dantys.
Dantų implantai – vienas saugiausių ir ilgiausiai tarnaujančių dantų atkūrimo metodų. Dantų implantai nuolat tobulinami ir gerinami jų prigijimo rezultatai. Šiuo metu patikimų gamintojų dantų implantai prigyja nuo 96 iki 100 % atvejų.
Dėl sėkmingų ir lengvai prognozuojamų rezultatų dantų implantacija yra laikoma vienu patikimiausių gydymo metodų medicinoje.
Dantų implantai – tai metalo sraigteliai, dantų restauracijoje tarnaujantys kaip dirbtinės dantų šaknys. Dantų implantai yra gaminami iš titano, kuris lengvai prigyja minkštuosiuose audiniuose ir gerai suauga su kaulu.
Natūralų dantį sudaro danties šaknis ir danties vainikas. Restauruojant dantį, yra reikalinga dirbtinė danties šaknis. Ja tampa danties implantas: jis sriegiamas į žandikaulio kaulą, o prigijęs virsta atrama restauruojamam dančiui.
Pilnai restauruotą dantį, kuriam atlikta danties implantacija ir danties protezavimas ant implanto, sudaro:
Gydymo, kurį sudaro dantų implantai, kaina Kaune, klinikoje „Geras odontologas“ yra nuo 550 iki 780 eurų. Vieno danties implanto kaina priklauso nuo dantų implantų gamintojų.
Burnos chirurgas rekomenduoja, kokie dantų implantai yra geriausi paciento situacijoje. Nuo to, kokia bus restauracijos, kai sriegiami dantų implantai, kaina.
Vieno implanto kaina ir jos skirtumas ypač svarbus, kai sriegiami keli dantų implantai arba atliekama implantacija „Visi ant 4“ metodu. Restauracijos, kurią sudaro visi dantys ant 4 implantų, kaina yra nuo 2 iki 3 tūkst. eurų.
Jei kartu su dantų implantacija atliekamas papildomas gydymas – kaulo priauginimas ar sinuso pakėlimas, galutinė kaina priklauso nuo bendro gydymo plano.
Dantų implantai Kaune, klinikoje „Geras odontologas“, yra svarbus dantų atkūrimo metodas, kuriam skiriame daug dėmesio. Dantų implantai mums leidžia atkurti šypsenas pacientams, kurie yra netekę nuosavų dantų dėl odontologo baimės, traumų, gyvenimo būdo ar įpročių.
Dantų implantacija Kaune, mūsų klinikoje atliekama tik kokybiškais ir patikimų gamintojų implantais. Rūpinamės, kad dantų implantai, kuriuos naudojame šypsenos atkūrimui, užtikrintų saugią procedūrą, sėkmingą implanto prigijimą ir ilgaamžį rezultatą.
Skirtingi dantų implantai Kaune veikiančioje klinikoje „Geras odontologas“ leidžia pasirinkti tinkamiausią kokybės ir kainos santykį. Titano dantų implantai, kuriais atliekame gydymą, pagal prigyja 96 – 100 proc. danties implantacijos atvejų.
Implantai, kuriais atliekame dantų atkūrimą:
Dantų implantacija Kaune, mūsų klinikoje atliekama profesionalių specialistų:
Dantų implantacija Kaune, klinikoje „Geras odontologas“ gali būti atliekama su sedacija. Dantų gydymas su sedacija pacientui teikia daugiau komforto. Jei dantų implantacija nėra sudėtinga ir pacientas nenori sedacijos, dantų implantai sriegiami be sedacijos. Visgi, kai dantų implantacija yra sudėtinga, burnos chirurgas pacientui rekomenduoja, kad dantų gydymas būtų atliktas su sedacija.
Mūsų burnos chirurgas Kaune, klinikoje „Geras odontologas“ dažnai sulaukia klausimo, kokie dantų implantai geriausi. Nėra vieno teisingo atsakymo. Lygiai taip pat nėra vieno teisingo atsakymo į klausimą, kokie geriausi dantų implantai Kaune.
Geriausi dantų implantai pacientui yra tokie, kurie geriausiai tinka pagal jo žandikaulio kaulo būklę ir tankį, sinuso būklę, persirgtas ligas, parinktą implantacijos metodą, pozicijas, į kurias bus sriegiami dantų implantai. Tai – subjektyvūs kriterijai, kuriuos įvertinti gali tik burnos chirurgai ir odontologai. Todėl geriausi dantų implantai konkrečiam pacientui – klausimas, į kurį geriausiai atsakys pacientą konsultuojantis burnos chirurgas.
Ar yra objektyvių kriterijų, kokie dantų implantai geriausi pacientui? Mūsų burnos, veido ir žandikaulių chirurgė Indrė Zykutė – Bružienė dažnai sako, jog dantų implantai ir jų pasirinkimas primena automobilio pasirinkimą. Visi automobiliai atlieka savo funkciją – nuveža į pasirinktą vietą. Kelionės komfortas ir kaina priklauso nuo automobilio modelio ir gamintojo.
Tas pats galioja ir tuomet, kai pacientas svarsto, kurie geriausi dantų implantai jam tiktų. Visi dantų implantai suteiks atramą danties vainikui. Tačiau kiek ilgai dantų implantai „atlaikys“ ir kiek komforto teiks, galima spręsti remiantis objektyviu kriterijumi – kokybe, kurią garantuoja dantų implantų gamintojai.
Kokybę, kuria pasižymi dantų implantai, sudaro 3 veiksniai:
Dantų implantai atlieka danties atramos funkciją, nuo kurios priklauso dantų implantų ilgaamžiškumas.
Vertinant, kiek ilgai tarnauja dantų implantai, svarbūs 4 kriterijai:
Lyginant su kitais dantų atkūrimo būdais (išimami dantų protezai ar dantų plokštelės), dantų implantų privalumai apima daugybę kriterijų:
Pacientams, kuriems planuojama dantų implantacija, dažnai rūpi, kaip dedami dantų implantai. Dantų implantacijos procedūra yra neskausminga, neilga ir saugi. Daugeliu atvejų vieno danties implantas įsriegiamas per 40 minučių vietinėje nejautroje arba su sedacija.
Dantų implantacijos procedūra apima šiuos etapus:
Mūsų odontologijos klinika Kaune taiko itin tikslią diagnostiką 3D skeneriu, kuri dėl diagnostinio tikslumo:
Dantų implantai idealiai atkartoja funkcijas, kurias atlieka nuosavi dantys:
Gydymo, kurį sudaro dantų implantai, garantija Kaune, klinikoje „Geras odontologas“, suteikiama 10 metų. Ši garantija galioja visų gamintojų implantams.
Tam, kad suteikus gydymą, kurį sudaro dantų implantai, garantija galiotų nurodytą laiką, yra būtina sąlyga: pacientas privalo atvykti pirmajam vizitui po dantų implantacijos ne vėliau nei po dvejų metų nuo implantacijos datos. Priešingu atveju prarandamos privilegijos, kurias suteikia dantų implantai ir garantija.
Gydymo, kurį sudaro dantų implantai, garantija galima pasinaudoti tuomet, kai pacientas:
Dantų implantacija su sedacija (pacientų vadinama narkoze) atliekama tuomet, kai:
Dantų implantacija su sedacija pacientui suteikia daugiau komforto, o burnos chirurgui – galimybę operaciją atlikti itin tiksliai.
Tinkama dantų implantų priežiūra užtikrina, kad bus išsaugotas dantų implantų ilgaamžiškumas, sveika burnos ertmė ir gera dantų implantų būklė. Ją užtikrina trys pagrindiniai veiksniai:
Būtina laikytis šių profilaktinių vizitų klinikoje rekomendacijų:
Pacientai, kuriems planuojama dantų implantacija, dažnai klausia, kokiais atvejais kyla dantų implantų komplikacijos. Galimos dantų implantų komplikacijos – tai aplink implantą esančių minkštųjų audinių uždegimas (periimplantitas).
Mūsų burnos chirurgas Kaune, klinikoje „Geras odontologas“ patikina, jog dantų implantacija, atlikta kokybiškai, profesionaliai ir preciziškai, yra lengvai prognozuojamas dantų gydymas. Dantų implantai prigyja tuomet, kai yra pakankamai žandikaulio kaulo ir minkštųjų audinių, procedūra yra preciziškai suplanuota ir profesionaliai atlikta. Dantų implantų komplikacijos dažniausiai kyla dėl tikslumo stokos: netiksli diagnostika (nepakankamai įvertinta burnos audinių būklė) ar procedūra.
Taigi, dantų implantų komplikacijos išvengiama, jei gydymas atliktas kokybiškai:
Visgi nedera užmiršti, kad dantų implantacija – tai chirurginė intervencija. Kaip ir bet kuri kita operacija, ji gali turėti neprognozuotą eigą dėl paciento sveikatos, rekomendacijų po implantacijos nesilaikymo ar kitų priežasčių.
Siekiant išvengti dantų implantų komplikacijos, svarbus ir paciento vaidmuo:
Įprasta, kad pacientai sugrįžta į Lietuvą kelioms dienoms gydymui, kurį sudaro dantų implantacija. Mūsų burnos chirurgas šiems pacientams pataria skirti atvykimui bent 3 – 4 dienas.
Pirmąją atvykimo dieną atliekama dantų implantacija. Trečią ar ketvirtąją atvykimo dieną pacientas atvyksta apžiūrai po implantacijos. Ideali situacija, kai įsriegti dantų implantai gali būti apžiūrėti praėjus 2 paroms po dantų implantacijos.
Dantų implantacija su burnos chirurgo apžiūra po operacijos yra svarbi dėl šių priežasčių:
Gijimas po dantų implantacijos – svarbus etapas, per kurį įsitvirtina įsriegtas danties implantas. Pacientai turėtų būti ypač atidūs pirmosiomis dienomis ir 4 – 5 savaitę po dantų implantacijos. Praėjus mėnesiui po implantacijos, žandikaulio kaulas dėl operacijos metu patirtos traumos nežymiai patirpsta ir nespėja atsikurti. Tai normalu, žandikaulio kaulo regeneracijai reikia laiko.
Dėl pooperacinio pažeidžiamumo ir infekcijos rizikos pacientams nerekomenduojama liesti ar kitaip judinti vietą, kurioje atlikta dantų implantacija. Pacientams, kuriems iškrito implanto gijimo galvutė, nereikia patiems jos priveržti.
Jei iškrito implanto gijimo galvutė, visuomet, kai yra galimybė, rekomenduojama pasirodyti burnos chirurgui. Jei pacientas yra užsienyje ar dėl kitų priežasčių neįmanoma atvykti į kliniką, rekomendacijos priklauso nuo etapo, kuriuo implanto gijimo galvutė iškrito:
Medicinos gydytoja, burnos, veido ir žandikaulių chirurgė
Gydytojas odontologas, burnos chirurgas
Gydytoja anesteziologė – reanimatologė
Burnos higienistė, gydytojo odontologo padėjėja
Atvejų nuotraukos, kuriose atvaizduojami dantų implantai prieš ir po gydymo, geriausiai iliustruoja privalumus, kurių pacientams teikia kokybiška ir profesionaliai atlikta dantų implantacija.
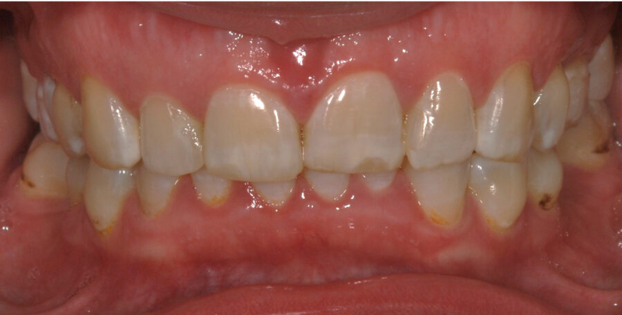
Dantų ir dantų emalio pažeidimai dėl ankstyvame amžiuje neatlikto dantų tiesinimo ir ligos, vadinamos fluoroze.
Gydymas atliktas 3 etapais. Ilgiausią gydymo etapą sudarė dantų tiesinimas kapomis.
Lūžęs danties vainikas, dantų nudilimas ir sąkandžio patologija. Idealiam gydymo scenarijui būtų reikalingas dantų tiesinimas, tačiau pasirinktas kompromisinis dantų gydymas.
Seni dantų tiltai, prasta dantų estetika ir bukas dantų skausmas – priežastys, dėl kurių pacientei pradėtas kompleksinis dantų gydymas.
Visų dantų nudilimas, danteninė šypsena, nesuprotezuotas krūminis dantis.
Problemos, kurias sprendėme: dantų susigrūdimas, vietos stoka dantims, pacientės netenkinanti dantų estetika, ryškūs emalio spalvos pokyčiai.
Sudėtingas kryžminio sąkandžio atvejis. Ortodontinis gydymas pradėtas tinkamu laiku, kai žandikaulio kaulas tebesiformuoja.
2 metų trukmės gydymas (breketai ir Bollard dantų implantai), sugrąžinęs pacientei tiesią ir lygią šypseną.
Pacientė siekė kokybiškos šypsenos restauracijos: ilgam atkurta dantų funkcija, kramtymas be skausmo, gėdos nevaržoma estetiška šypsena.
Kokybiškas ir ilgalaikis rezultatas – lūkestis, kurį 6 odontologų komanda įgyvendino 4 etapais.
Prieš 20 metų atliktas dantų protezavimas metalo keramika (dantų tiltas ir dantų vainikėliai).
Seniai atliktas protezavimas pakeistas nauju: cirkonio keramika (dantų karūnėlės), stiklo keramika (dantų laminatės). Prieš tai atliktas paruošiamasis dantų gydymas, dantų tiesinimas ir dantų implantacija.
Siekiant išsaugoti nuosavus dantis, buvo atliktas kompleksinis gydymas. Juo atkurta nuosavų dantų estetika ir funkcija. Pašalintas diskomfortas, kurį kėlė seni krūminių dantų vainikėliai.
1 etapas | funkcijos atkūrimas
2 etapas | funkcijos ir estetikos atkūrimas
Problemos, kurios buvo sprendžiamos:
1 gydymo etapas:
2 gydymo etapas:
Dantų tiesinimas buvo atliktas kitoje klinikoje. Po jo pacientas kreipėsi dėl galutinio dantų funkcijos ir estetikos atkūrimo etapo, kurį sudaro estetinis plombavimas.
Gydymą sudarė:
Tam tikrą laiką dantis viršutiniame žandikaulyje pakeisdavo išimama dantų plokštelė. Tačiau ilgainiui ji pradėjo kelti diskomfortą ir pacientas pasiryžo dantų atkūrimui „visi dantys ant 4 implantų“ metodu.
Dantų atkūrimas „visi dantys ant 4 implantų“ metodu:
Tai ilgalaikis, tvirtas ir stabilus sprendimas, kuris sustabdo nepageidaujamus žandikaulio kaulo pokyčius.
Šią šypseną naujam gyvenimui prikėlė kompleksinis dantų gydymas, kuriam prireikė 4 etapų ir 6 skirtingų specialistų. Labai gražus atvejis, kai greta esantys priekiniai dantys, kuriems taikyti skirtingi metodai – dantų vainikėlis ir estetinis plombavimas – dantų linijoje nesiskiria, atrodo lyg autentiški nuosavi dantys.
Kompleksinis dantų gydymas apėmė:
Paciento problema: lokalus skausmas, dantų nudilimai dėl netaisyklingo sąkandžio, dantų spalvos pokyčiai, keli trūkstami dantys.
Kompleksinis gydymas ilgalaikiams rezultatams:
1 etapas: funkcinis gydymas:
2 etapas: estetikos atkūrimas:
Problemos, kurias sprendėme:
Gydymas suteiktas etapais:
I. Naujas sukandimas ir jo adaptacija
II Vienmomentė dantų implantacija, viršutinis žandikaulis | po 3 mėn.
III. Vienmomentė dantų implantacija, apatinis žandikaulis | po 2 mėn.
IV. Nuolatinis dantų protezavimas | po 6 mėn.
Pacientės lūkestis – skausmo šalinimas ir estetikos atkūrimas. Sprendimas – kompleksinis funkcinis ir estetinis gydymas tam, kad atkurta šypsena tarnautų ilgam.
Labai džiaugiamės, kad pacientės ir mūsų požiūriai sutapo – siekti ne kuo baltesnės, bet sveikos ir natūraliai gražios šypsenos.
Nekokybiško Turkijos odontologų darbo pergydymas. Dantų protezavimą atlikus nekokybiškai, lydi didžiulis diskomfortas. Pacientė skundėsi:
Išpildytas didžiausias pacientės lūkestis – balta, plati ir sveika šypsena, kuri natūraliai dera prie veido. Turkijos odontologų darbo pergydymą sudarė:
Abiejuose žandikauliuose nebuvo nei vieno nuosavo danties. Gydymą sudarė 3 etapai:
1 | dantų implantacija
2 | implantų prigijimas ir laikinas protezavimas
3 | nuolatinis dantų protezavimas po 4 mėn.
Visi dantys ant 4 implantų ir fiksuotas dantų tiltas: per 4 mėnesius sugrąžinta pilnavertė dantų funkcija.
Visų dantų restauracija:
Iškalbingas atvejis, kai dantų implantacija atliekama maksimaliai išsaugant sveikus nuosavus dantis ir atkuriant prarastus. Viso gydymo trukmė – 10 mėnesių. Rezultatas – komfortas kramtant, estetika šypsantis, pasitikėjimas bendraujant.
Burnoje trūko visų dantų, pacientas nenorėjo diskomforto – bedantės burnos ar dantų plokštelės – iki tol, kol bus paruoštas nuolatinis protezas.
Nauji dantys per 2 – 3 dienas: saugiai ir be rizikos, nepatiriant diskomforto pereinamuoju laikotarpiu, iki nuolatinio protezo pritvirtinamo.
Ištobulintas visi dantys ant keturių implantų atvejis. Gydymo privalumai: kai gaminamas nuolatinis dantų protezas, labai svarbu jo kokybė. Tobulą protezų formą paprasčiau paruošti, kai pacientas ištestuoja laikinąjį protezą.
Šypsenos korekciją sudarė:
Dantys dėvisi dėl amžiaus, priežiūros ir kitų įpročių. Pirminio danties audinio sugrąžinti negalime. Tačiau galime restauruoti „senąjį“ ir sukurti geresnę šypsenos versiją, kaip ir šiuo atveju. Rezultatas – ilgalaikis ir užtikrintas, šypsenos spindesys – natūralus ir autentiškas.
Beveik metus trukusią pokyčių kelionę pradėjome nuo skaitmeninio gydymo plano.
Šypsena atkurta maksimaliai išsaugant nuosavus dantis ir jų šaknis. Galutinis rezultatas viršijo lūkesčius: šypsena – tarsi naujai gimusi. Tai – ilgalaikis ir funkcionalus sprendimas.
Ryškūs dantų spalvos pokyčiai liko dėl anksčiau vartotų medikamentų poveikio. Šypseną atkūrėme 2 etapais: pirmiausiai – kompleksinis gydymas, po jo – dantų laminatės.
Kompleksinį gydymą sudarė:
Estetinį protezavimą sudarė:
Įspūdingo šypsenos pokyčio pasiekėme pasitelkę nuoseklų gydymo planą ir skaitmeninį šypsenos planavimą. Taip atkurta šypsena – ilgaamžė, funkcionali ir estetiška.
Trūko visų dantų, nepakalo kaulo tūrio implantacijai. Gydymą sudarė:
Visi dantys 4 implantų: pilnas dantų ir kramtymo funkcijos atkūrimas. Su patyrusių specialistų komanda tai – saugus kelias susigrąžinti prarastus dantis.
Gydymo, kurį sudaro dantų implantai, atsiliepimai rodo, kad pacientai vertina gydymo kokybę, profesionalumą ir sėkmingą rezultatą. Dantų implantacija pacientams sugrąžina visavertę dantų funkcija: jie šypsosi be gėdos ir kramto be skausmo.
Labai džiaugiuosi, kad pasirinkau šią kliniką, nors tenka važiuoti iš Vilniaus. Puiki odontologų komanda. Jau antri metai lankausi ir galiu įvertinti paslaugų kokybę. Puiku, kad visą odontologinį gydymą gauni vienoje vietoje. O dar puikus klinikos interjeras ir malonus personalas gerai nuteikia vos įžengus pro duris. Čia jauku, nors visada turim nerimo iš vaikystės lankytis pas dantistus.
Džiaugiuosi pasirinkusi šią odontologijos kliniką, kur visada esu maloniai priimama, gydytojos visuomet bendrauja su šypsena veide, atsako į visus rūpimus klausimus, profesionaliai konsultuoja. Čia tikrai nuostabūs odontologai atlieka savo darbą sąžiningai ir profesionaliai. Rekomenduoju visiems.
Lankiausi „Geras odontologas“ – tikrai geras, labai patiko, malonus, greitas ir profesionalus aptarnavimas.
Dantų gydymui galite pasitelkti vieną iš trijų finansavimo būdų: medlizingą, sveikatos draudimą ar TLK kompensaciją.
Implantacija yra vienas saugiausių dantų gydymo metodų. Jo sėkmė ir dantų implantų prigijimas priklauso kokybės, kuria pasižymi dantų implantai, ir nuo kompetencijos, kurią turi burnos chirurgas.
Burnos chirurgas turi platesnę kompetenciją ir papildomą išsilavinimą, todėl gali geriau įvertinti bendrą sveikatos būklę. Prieš gydymą, kurį sudaro implantacija, arba tos pačios procedūros metu jis gali atlikti kitas chirurgines operacijas (sinuso pakėlimas, kaulo priauginimas).
Dantų implantacija Kaune, klinikoje „Geras odontologas“ yra atliekama burnos, veido ir žandikaulių chirurgės Indrės Zykutės – Bružienės ir burnos chirurgo Abdulla Varonecko.
Indrė Zykutė – Bružienė yra baigusi dvi medicinos studijas ir dvi rezidentūras, yra sukaupusi 16 metų patirtį. Be to, Indrė Zykutė – Bružienė jau 10 metų dirba Vilniaus universiteto ligoninės Žalgirio klinikoje.
Dantų restauracija, kurią sudaro dantų implantacija ir protezavimas po dantų implantacijos, trunka iki vienerių metų. Tai priklauso nuo paciento burnos ir dantų būklės. Jei yra galima vienmomentė implantacija, dantų restauracija atliekama greičiau. Visgi vienmomentė implantacija nėra galima visais atvejais.
Dantų implantacija ir dantų protezavimas vyksta šia seka:
Kai atliekama vienmomentė implantacija, laikini dantų protezai tvirtinami tą pačią arba sekančią dieną po dantų implantų sriegimo. Vieno danties implantacija trunka 40 – 60 minučių.
Kad įvyktų sėkmingas dantų implantų prigijimas, labai svarbi tinkama dantų implantų priežiūra. Rūkymo atsisakymas ir operuotos vietos priežiūra – svarbiausi veiksniai po gydymo, kai buvo atlikta dantų implantacija.
Rūkymas kelia didžiausią riziką, jog pasireikš danties implanto atmetimo požymiai. Nors danties implanto atmetimo požymiai pasitaiko retai, siekiant, kad dantų implantai prigytų, būtina laikytis paminėtų principų.
Kitos dvi priežastys, kodėl retais atvejais gali pasireikšti danties implanto atmetimo požymiai, yra susiję su:
Kaulo tūris ir jo įvertinimas yra gydymo plano dalis. Kai gydymo planą sudaro profesionalus ir patyręs burnos chirurgas, šiuos kriterijus jis įvertina iš anksto.
Pacientas, planuojantis dantų implantaciją, turi atsakingai vertinti savo sveikatą ir burnos chirurgui suteikti visą informaciją. Tai užtikrina, kad dantų implantacija bus atlikta tinkamai.
Dantų implantų prigijimas siekia 96 – 99 procentus. Dantų implantacija yra vienas labiausiai pagrįstų ir efektyvių odontologijos (ir medicinos) metodų:
Impantai ir jų prigijimas priklauso nuo šių veiksnių:
Danties implanto atmetimo požymiai yra labai reti. Jų nereikėtų supainioti su diskomfortu, kuris labiausiai jaučiamas pirmąsias 4 paras po dantų implantacijos.
Danties implanto atmetimo požymiai pasireiškia per pirmuosius tris mėnesius po implantacijos:
Pajutus šiuos požymius, būtina nedelsiant susisiekti su odontologu, kuris atliko dantų implantaciją.
Paprastai dantų implantacija atliekama vietinėje nejautroje. Dažniausiai jos pakanka, kad pacientas nejustų skausmo gydymo metu.
Kai vienu metu sriegiami keli implantai arba dantų implantacija atliekama kartu su kaulo augmentacija, operacijos atliekamos su sedacija. Sedacija yra atliekama gydytojo anesteziologo – reanimatologo.
Praėjus poveikiui, kurį suteikia vietinė nejautra ar sedacija, dauguma žmonių po dantų implantacijos jaučia diskomfortą, primenantį pojūčius po danties rovimo.
Skausmas po dantų implantacijos pasireiškia beveik visais atvejais ir pradeda mažėti po 4 parų. Skausmas po dantų implantacijos malšinamas vaistais nuo skausmo, kuriuos paskiria burnos chirurgas, ir šaldymu ledo paketu.
Po dantų implantacijos, siekiant sėkmingo gijimo be komplikacijų, būtina laikytis gydytojo nurodymų: nerūkyti, atlikti reikiamą burnos higieną, naudoti paskirtą burnos skalavimo skystį, neliesti liežuviu operuotos vietos.
Pacientams, kuriems atlikta dantų implantacija, kelia nerimo klausimas, ką valgyti po dantų implantacijos.
Mitybą po dantų implantacijos reikia ypač gerai prižiūrėti pirmąsias 14 parų:
Per šį laikotarpį negalima valgyti tąsaus ir kieto maisto. Praėjus 14 parų, galima grįžti prie įprastos mitybos, nebent burnos chirurgas rekomendavo kitaip.
Implantai, kaip ir natūralūs dantys, reikalauja kruopščios kasdienės priežiūros. Tik tinkamai prižiūrimi dantų implantai tarnauja visą gyvenimą, todėl po dantų implantacijos asmeninė burnos higiena turi būti ideali.
Rekomenduojame laikytis šių principų:
Tinkama dantų implantų priežiūra neleidžia aplink implantą išsivystyti minkštųjų audinių uždegimui (periimplantitas) ar kitoms burnos ligoms. Jei nesirūpinama kasdiene dantų implantų priežiūra, uždegimo rizika yra didesnė nei prižiūrint nuosavus dantis.
Periimplantitas – tai dantenų uždegimas, apėmęs audinius aplink dantų implantus. Periimplantitas pasireiškia esant prastai burnos higienai. Bakterijos kaupiasi danties implanto paviršiuje ir sukelia jį supančių minkštųjų audinių uždegimą.
Pirmiausiai susiformuoja vadinamasis periimplantinis mukozitas. Jo negydant, gali kilti daug sudėtingesnė burnos liga – periimplantitas. Uždegimas apima daugiau audinių, prasideda kaulo, į kurį įsriegtas danties implantas, nykimas. Ilgainiui danties implantas netenka stabilios fiksacijos kaule ir išlaisvėja.
Periimplantitas yra sunkiai gydomas dantenų uždegimas ir gali turėti rimtų pasekmių: prarandami dantų implantai, reikalingos papildomos operacijos.
Pirmieji periimplantito požymiai rodo, jog formuojasi implantą supančių dantenų uždegimas:
Periimplantitas dažniau būdingas žmonėms, kuriems anksčiau buvo diagnozuotas ir gydytas periodontitas. Kad dantų implantai prigytų sėkmingai ir neišsivystytų uždegimas, didžiausios įtakos turi rūkymo atsisakymas (greta geros burnos higienos).
Dantų implantai nėštumo metu nėra sriegiami, ir dantų implantacija atidedama iki pogimdinio laikotarpio. Burnos ertmės ir dantų sveikata nėštumo metu patiria pokyčių. Dėl hormonų poveikio kinta besilaukiančios moters imuninė sistema, padidėja uždegiminių procesų (tokių kaip dantenų uždegimas) rizika, o dėl gestacinio diabeto (nėščiųjų diabetas) dantų implantų prigijimas gali būti sunkesnis.
Besilaukiančioms moterims burnos chirurgai rekomenduoja konsultaciją, per kurią būtų aptarta dantų implantacija, suplanuoti po vaikelio gimimo. Kadangi burnos chirurgo užimtumo grafikas yra intensyvus, dėl pirminės konsultacijos galima kreiptis likus keliems mėnesiams iki pirmojo vizito.
Pacientai, kuriems reikalinga visų dantų implantacija, dažnai klausia, kaip dedami dantų implantai. Dantų implantai yra sriegiami chirurginės procedūros metu. Priklausomai nuo apimties, kurią sudaro dantų implantacija, procedūra atliekama su vietine nejautra arba sedacija. Pacientai tokią procedūrą vadina dantų tvarkymas (taisymas) su narkoze.
Rodoma 9 iš
Rezultatų nerasta