Peržiūrėkite atnaujintą šypsenų galeriją: dantys prieš ir po gydymo!
Niekada ne per vėlu dantų restauracijai, kuria atkuriama dantų estetika ir funkcija. Sprendimas yra ir tais atvejais, kai dantų implantacija pacientui yra per didelė investicija. Išimami dantų protezai, dantų plokštelės, dantų vainikėlis – tai protezavimo metodai, po kurių gražėja šypsena, gerėja sąkandis, atsistato veido kontūras.
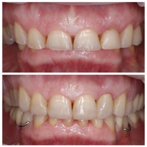
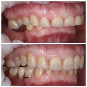
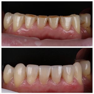
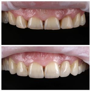
Pacientės problema: seniai prarasti ir neatkurti dantys
Šiuo atveju sprendėme šias pacientės problemas:
Kompleksinis gydymas: dantų protezavimas ir estetinis plombavimas
Dantų gydymo planą sudarė ir koordinavo gyd. odontologė Aistė Gigė. Pagal sudarytą planą suteiktas šis dantų gydymas, kuriuo atkurta pacientės dantų estetika ir funkcija:
Kokybiški dantų protezai ir plokštelės yra patogūs
Mūsų odontologai Kaune primena: jei dantų implantai pacientui yra per didelė investicija, šiuolaikinė odontologija turi kitų dantų atkūrimo metodų.
Kokybiškai pagaminti, kruopščiai pritaikyti išimami dantų protezai ir dantų plokštelės yra patogūs, nekelia diskomforto. Naudojant tinkamas dantų protezų priežiūros priemones (dantų protezų valiklis, dantų protezų klijai), jie laikosi per visą dieną.
Dėkojame pacientei už pasitikėjimą ir džiaugiamės dar viena gražia šypsena!
Daugiau mūsų atkurtų šypsenų peržiūrėkite čia.
Rodoma 9 iš
Rezultatų nerasta