Dantų emalio atstatymas ir estetinis plombavimas po dantų tiesinimo

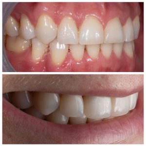
Dantų emalio atstatymas ir estetinis plombavimas po dantų tiesinimo – įprasta estetinė šypsenos korekcija. Nors dantų tiesinimas leidžia pasiekti įspūdingų rezultatų, pasitaiko, kad tarpai tarp dantų pilnai neužsidaro ir šypsenoje lieka „fragmentai“ su mažiau ar daugiau išreikštais tarpeliais.

 

 

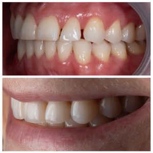
Estetinis plombavimas prieš ir po

    Taip nutiko ir šiuo atveju, kai pacientė kreipėsi po gydymo, kurį sudarė dantų tiesinimas kitoje klinikoje.

    Galutiniame etape dantų estetika buvo atkurta šiomis procedūromis:

    1. Minkštųjų audinių korekcija:
    1. Dantų plombavimas:

    Mūsų odontologijos klinika Kaune skiria daug dėmesio ir pastangų, kad atkurta šypsena būtų autentiška – idealiai atitiktų paciento veido ir dantų proporcijas, atspalvius, simetriją. Mūsų odontologai taip pat rūpinasi, kad estetinis plombavimas ar kitas dantų gydymas būtų atliktas taip, jog tarnautų maksimaliai ilgai.

    Primename, kad tinkamai atliekant asmeninę burnos higieną namuose ir reguliariai atvykstant poliravimui, estetinis plombavimas tarnauja iki 10 metų ir ilgiau.

    Sekite mus socialiniuose tinkluose:

    Registruokitės vizitui

    Rezultatų nerasta