Dantų plokštelės ir dantų karūnėlės kramtymo funkcijos atkūrimui

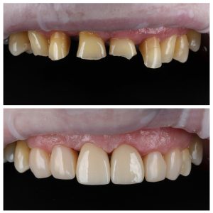
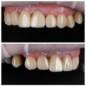
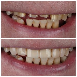
Dantų plokštelės ir dantų karūnėlės – sprendimas žmonėms, kuriems dantų implantacija nėra galima dėl žandikaulio kaulo būklės. Dėl amžiaus stipriai nudilę dantys nėra kliūtis šypsenos restauracijai. Priešingai, dantis atkurti būtina tam, kad atsistatytų kramtymo ir virškinimo funkcijos.

    Šiuo atveju dantys nudilo dėl kelių priežasčių:

    • Amžiaus
    • Šonuose prarastų ir neatstatytų dantų
    • Pakitusio sukandimo

    Dantų implantai ir fiksuoti dantų protezai pacientui nebuvo galimi dėl rezorbuoto (aptirpusio) žandikaulio kaulo. Gyd. odontologė Aistė Gigė suplanavo dantų restauraciją, kuriai buvo taikomos išimamos dantų plokštelės ir dantų karūnėlės. Dantų protezavimas buvo pradėtas tik po to, kai atliktas terapinis ir endodontinis gydymas

    Dantų atkūrimo etapai:

    1. Terapinis gydymas ir burnos chirurgija:
    • Profesionali burnos higiena | burnos higienistė Jolita Šlapšienė
    • Endodontija: priekinių dantų kanalų gydymas, siekiant išvengti pulpito | endodontologė Monika Vanagaitė
    • Paslankaus danties šalinimas | burnos chirurgas Abdulla Varoneckas
    • Dantenų korekcija lazeriu priekinio danties srityje | gyd. odontologė – periodontologė Irena Zykuvienė
    1. Dantų restauracija
    • Dantų karūnėlės (cirkonio keramika) dviem viršutiniams priekiniams dantims | gyd. odontologė Aistė Gigė
    • Estetinis plombavimas keturiems viršutiniams priekiniams dantims | gyd. odontologė Aistė Gigė
    • Išimamos dantų plokštelės šoniniams dantims apačioje ir viršuje | gyd. odontologė Aistė Gigė

    Tokios restauracijos pacientams sugrąžina komfortą, kurį teikia pilnavertė dantų funkcija:

    • Pilnavertis kramtymas
    • Susitvarkęs, rūpesčių nekeliantis virškinimas
    • Pristabdytas žandikaulio kaulo tirpimas
    • Atstatytas veido kontūras ir šypsena

    Dėkojame pacientui už pasitikėjimą!

    Sekite mus socialiniuose tinkluose:

    Registruokitės vizitui

    Rezultatų nerasta