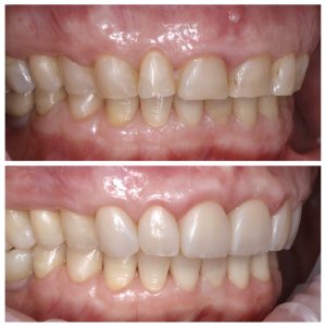
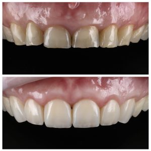
Visų nudilusių dantų plombavimas

Būklė, kai reikalingas visų nudilusių dantų plombavimas, susiformavo dėl dviejų priežasčių: amžiniai pokyčiai ir bruksizmas (dantų griežimas). Priekinių dantų atkūrimui buvo pritaikytas priekinių dantų estetinis plombavimas, plombuojant visą danties paviršių.

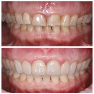
Estetinis plombavimas ant pacientės priekinių dantų

    Reguliariai lankomas gyd. odontologas ir amžiniai pokyčiai

    Pacientams sunku patiems laiku pastebėti pokyčius, dėl kurių prastėja dantų emalio, sąkandžio, kitų burnos ertmės audinių būklė. Ypač, jeigu šie pokyčiai formuojasi su amžiumi. Kasdien matydami savo šypseną veidrodyje, esame pripratę prie šio vaizdo, todėl sudėtinga kritiškai įvertinti, kaip kinta dantų būklė.

    Reguliarūs vizitai pas odontologą padeda laiku pastebėti pokyčius ir pradėti reikalingą gydymą.

    Profilaktinis dantų patikrinimas, kurį odontologas pacientui atlieka kartą į metus ar pusmetį, leidžia įvertinti šiuos dantų būklės aspektus:

    • Burnos higienos būklė;
    • Dantų kariesas (ėduonis);
    • Dantenų būklė, dantenų uždegimas (gingivitas);
    • Dantų šaknų kanalų būklė;
    • Su amžiumi ryškėjantys emalio pokyčiai: nudilimai, spalvos pokyčiai;
    • Bruksizmas (dantų griežimas) dėl kasdienio streso;
    • Su amžiumi atsirandantys sąkandžio pokyčiai;
    • Žandikaulio kaulo tirpimas (jei prarastų dantų vietoje nėra įsriegti dantų implantai).

    Mūsų odontologai Kaune, klinikoje „Geras odontologas“ primena, kad kuo anksčiau odontologas pastebi burnos ertmės ir dantų pokyčius, tuo mažesnės intervencijos prireikia gydymo metu.

    Visų dantų plombavimas dėl amžinių pokyčių ir bruksizmo

    Šiuo atveju anksčiau pastebėjus dantų nudilimus, kuriuos lėmė amžius ir bruksizmas, ir anksčiau pradėjus nešioti apsauginę kapą (dantų kapa miegui), dantų nudilimai galėtų būti mažesni.

    Mūsų odontologai Kaune, klinikoje „Geras odontologas“ sprendė šias pacientės problemas:

    • Stiprus visų dantų nudilimas (priežastys – amžiniai pokyčiai ir bruksizmas);
    • Danteninė šypsena (šypsantis matosi dantenų plotas, neproporcingas dantų dydžiui);
    • Nesuprotezuotas krūminis dantis.

    Kompleksinis dantų gydymas apėmė šiuos etapus:

    1 etapas. Terapinis dantų gydymas:

    • Reguliari profesionali burnos higiena | burnos higienistė Jolita Šlapšienė
    • Dantų plombavimas (senų plombų keitimas) | gyd. odontologė Gabija Stasiūnaitė

    2 etapas. Burnos chirurgija:

    3 etapas. Dantų estetika ir funkcija:

    Galutinis rezultatas – natūrali ir autentiška šypsena. Tačiau svarbi ne tik atkurta dantų estetika. Mūsų odontologai pabrėžia, jog po gydymo, kai atliekamas visų dantų plombavimas ir atkūrimas, stipriai pagerėja sąkandžio būklė. Atkurta pilnavertė dantų anatomija apsaugo žandikaulio sąnarius nuo pertempimo ar priešlaikinio susidėvėjimo.

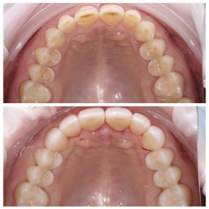
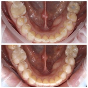
    Visų dantų plombavimas prieš ir po Nudilusių dantų estetinis plombavimas prieš ir poVisų nudilusių dantų plombavimas prieš ir poViršutinis dantų lankas prieš ir po plombavimoApatinis dantų lankas prieš ir po plombavimo

    Pasiekto rezultato išsaugojimas

    Kai atliktas visų dantų plombavimas ar priekinių dantų estetinis plombavimas, mūsų odontologai Kaune, klinikoje „Geras odontologas“ pacientui primygtinai rekomenduoja skirti pastangų, kad būtų išsaugotas pasiektas rezultatas.

    Jei pacientui būdingas net ir menkai išreikštas dantų bruksizmas, jam būtina apsauginė dantų kapa (bruksizmo kapa). Taip pat būtina ieškoti giluminių priežasčių, dėl kurių kyla dantų bruksizmas. Kasdienio streso ir įtampos įveika gerina psichologinę būklę, atitinkamai silpnėja bruksizmas.

    Tinkamai prižiūrinti dantis, kuriems atliktas visų dantų plombavimas ir (arba) estetinis plombavimas, dantų estetika ir funkcija išsaugoma maksimaliai ilgai – iki 10 metų ir ilgiau.

    Daugiau mūsų atkurtų šypsenų peržiūrėkite čia.

     

    Sekite mus socialiniuose tinkluose:

    Registruokitės vizitui

    Rezultatų nerasta