Estetinis plombavimas po breketų: kai kreivų dantų estetinis plombavimas nėra pakankamas

Estetinis plombavimas tarnauja 10 metų ir ilgiau tuomet, kai yra pašalintos priežastys, dėl kurių dyla dantys. Priešingu atveju kreivų dantų estetinis plombavimas su minimalia intervencija bus trumpalaikis – dėl sąkandžio problemų dantys toliau dils. Dalijamės gydymo, kurio paskutiniame etape buvo atliktas estetinis plombavimas, prieš ir po istorija.

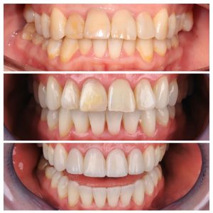
Estetinis plombavimas po breketų prieš ir po gydymo

    Kreivų dantų estetinis plombavimas tinkamas ne visiems atvejams

    Kai kuriais atvejais kreivų dantų estetinis plombavimas gali pakeisti ortodontinį gydymą, kurį sudaro dantų tiesinimas (breketai ar dantų kapos). Kreivų dantų estetinis plombavimas tinkamas šiems atvejams:

    • Nelygūs vienas ar keli pavieniai dantys;
    • Dantų nelygumas išreikštas nestipriai;
    • Nediagnozuotas atviras, gilus ar kryžminis sąkandis.

    Šiuo atveju mūsų ortodontai Kaune, klinikoje „Geras odontologas“, prieš dantų estetikos atkūrimą rekomendavo dantų tiesinimą breketais. Pacientės burnoje buvo vietos trūkumas dantų lankuose, dantų susigrūdimas. Kreivų dantų estetinis plombavimas, neatlikus dantų tiesinimo, netiko dėl šių priežasčių:

    • Siekiant sulyginti dantis, jie būtų stipriau šlifuojami prieš plombavimą ir (arba) dengiami storu estetinių plombų sluoksniu;
    • Stipriau šlifuojant dantis, išsaugoma mažiau nuosavų dantų audinių;
    • Dengiant emalį storu plombų sluoksniu, gali susiformuoti lėtinis dantenų uždegimas.

    Kreivų dantų estetinis plombavimas: pliusai ir minusai

    Kai ortodontai ir odontologai pacientui siūlo rinktis dantų tiesinimą vietoj estetinio plombavimo, galutinį sprendimą priima pacientas. Pasitaiko, kad pacientai, norėdami greito rezultato ir nepaisydami rizikos dėl nuosavų dantų audinių praradimo, nusprendžia, jog ortodontinis gydymas gali būti praleistas.

    Prieš priimant tokį sprendimą, mūsų ortodontai ir odontologai pacientus skatina įvertinti visus pliusus ir minusus.

    Kai vietoj dantų tiesinimo atliekamas kreivų dantų estetinis plombavimas, pliusai:

    • Greitas rezultatas: greitai, per vieną ar kelis vizitus atkurta dantų estetika;
    • Mažesnė finansinė investicija į gydymą.

    Kai vietoj dantų tiesinimo atliekamas kreivų dantų estetinis plombavimas, minusai:

    • Trumpalaikis sprendimas: estetinis plombavimas tarnaus trumpiau nei 10 metų, ypač, jei ryškios sąkandžio problemos ir dantys dėl jų dyla;
    • Nuosavų dantų audinių praradimas: dantų emalis stipriau šlifuojamas;
    • Dantenų ligos rizika: gali susiformuoti lėtinis dantenų uždegimas dėl emalį dengiančio storo plombų sluoksnio;
    • Ateityje vėl bus reikalingas invazyvus estetinis plombavimas ar dantų protezavimas.

    Breketai, burnos chirurgija ir estetinis plombavimas

    Šiuo atveju gydymą sudarė 4 etapai:

    1. Terapinis dantų ir dantenų uždegimo gydymas
    1. Dantų tiesinimas
    • Breketai apatiniame ir viršutiniame žandikauliuose | gyd. odontologė – ortodontė Simona Bražiulienė
    • Ortodontiniai mikroimplantai | Indrė Zykutė-Bružienė
    • Reguliari profesionali burnos higiena su breketais | Ingrida Lenkauskienė
    1. Burnos chirurgija ir restauracija
    1. Dantų estetika

    Galutinis rezultatas – sveika, lygi ir natūraliai balta šypsena. Dėkojame pacientei už pasitikėjimą ir bendrą kelione drauge!

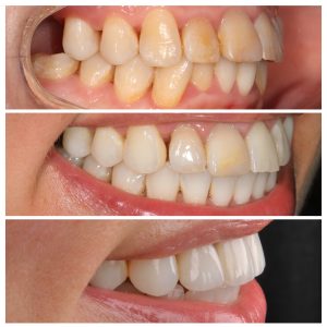
    Estetinis plombavimas ant pacientės dantų po dantų tiesinimo Pacientės dantys skirtingais gydymo etapasi iš priekio Pacientės dantys skirtingais gydymo etapais iš kairio šono Pacientės dantys skirtingais gydymo etapais iš dešinio šono

    Daugiau mūsų atkurtų šypsenų, kurioms atliktas dantų tiesinimas ir estetinis plombavimas, prieš ir po gydymą atliktų nuotraukų kviečiame peržiūrėti čia.

    Sekite mus socialiniuose tinkluose:

    Registruokitės vizitui

    Rezultatų nerasta