Nulūžo priekinis dantis: ką daryti?

Pacientė kreipėsi po to, kai nulūžo priekinis dantis. Ką daryti po danties traumos, dažnai klausia pacientai. Šiuo atveju diagnozuota sąkandžio patologija ir poreikis atlikti ortodontiją, tačiau pritaikytas kompromisinis dantų gydymas. Dantų gydymas dažnai apima įvairius kompromisus: dėl paciento amžiaus, finansinių galimybių, laiko ir kitų aplinkybių.

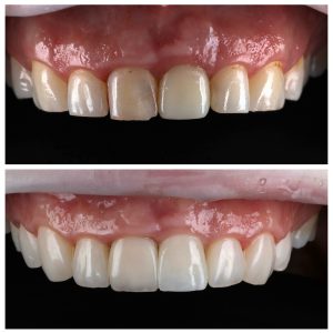
Lūžęs danties vainikas prieš ir po gydymo

    Po pirminės apžiūros pacientei buvo diagnozuota sąkandžio patologija ir visų dantų nudilimas.

    Idealus gydymas būtų apėmęs šiuos etapus: dantų tiesinimas, sąkandžio kėlimas, gretimo danties (greta lūžusio) protezavimas.

    Dėl įvairių aplinkybių pacientas pasirinko kompromisinį dantų gydymą. Mūsų odontologai dėjo visas pastangas, kad rezultatas būtų stabilus ir užtikrintas.

    Kompleksnis dantų gydymas apėmė:

    1. Burnos chirurgija
    • Danties su nulūžusiu vainiku šalinimas | gyd. odontologė – periodontologė Irena Zykuvienė
    • Implantas pašalinto danties pozicijoje su sedacija | burnos, veido ir žandikaulių chirurgė Indrė Zykutė-Bružienė, gyd. anesteziologė – reanimatologė Natalja Rudnikevič
    1. Terapinis dantų gydymas
    1. Dantų atkūrimas

    Dėkojame pacientei už pasitikėjimą!

    Daugiau mūsų atkurtų šypsenų peržiūrėkite čia.

    Šypsena po estetinio plombavimo Cirkonio keramika ir estetinis plombavimas prieš ir po gydymo Implantas ir estetinis plombavimas prieš ir po gydymo Lūžęs danties vainikas prieš ir po gydymo Estetinis plombavimas prieš ir po

     

     

    Sekite mus socialiniuose tinkluose:

    Registruokitės vizitui

    Rezultatų nerasta