Senas dantų protezavimas ir jo keitimas: dantų implantai, karūnėlės ir laminatės

Seniai atliktas dantų protezavimas gali turėti daugiau žalos nei naudos. Trūkumai, kuriais gali pasižymėti prieš dešimtmetį ar daugiau atliktas dantų protezavimas: natūralus protezų nusidėvėjimas, nuosavų dantų migravimas, seni metodai ir medžiagos, mažiau tikslumo ir mažiau dėmesio sąkandžio aukščio atkūrimui. Dalijamės gydymo istorija, kai dantų implantai, karūnėlės ir laminatės sugrąžino komfortabilų kramtymą, estetišką šypseną ir gyvenimą be dantų skausmo.

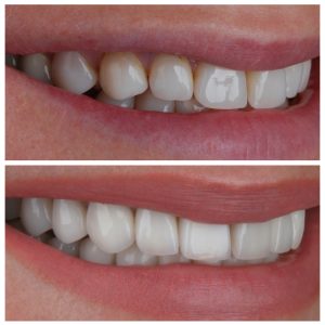
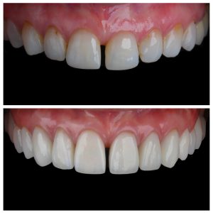
Dantų laminatės ant priekinių dantų prieš ir po gydymo

    Senas dantų protezavimas: kaip gali kenkti?

    Senas dantų protezavimas paciento burnoje gali kelti šias problemas:

    • Kramtymo raumenų perkrova (dėl protezų disbalanso);
    • Nuosavų dantų traumavimas protezais;
    • Pavienių dantų paslankumas (išjudėjimas) dėl jiems tekusios perkrovos;
    • Žandikaulio kaulo tirpimas dėl neproporcingos apkrovos;
    • Periodonto ir dantenų ligos;
    • Įkyrus dantų skausmas kramtant;
    • Dantų jautrumas;
    • Blogas burnos kvapas.

    Seniai atliktas dantų protezavimas ir jo minusai

    Šios burnos ir dantų ligos rodo, kad seniai atliktas dantų protezavimas –  ne tik estetinė problema. Ilgalaikiai burnos audinių pokyčiai kyla dėl kelių priežasčių. Viena vertus, nuosavi ir dirbtiniai dantys dėvisi – dyla ar šiurkštėja jų kandamieji kraštai ir kitos struktūros. Kita vertus, anksčiau taikyti protezavimo metodai buvo mažiau tikslūs, o medžiagos – mažiau pažangios.

    Anksčiau protezavimui dažnai buvo naudojama metalo keramika. Šiuo metu metalo keramika keičiama bemetale ar cirkonio keramika – medžiagomis, kurios yra tvirtos ir atkuria itin natūralią danties anatomiją.

    Jei anksčiau odontologai – ortopedai siekė pirmiausiai atkurti prarastą dantį, dabar jie daug dėmesio ir pastangų skiria tam, kad dirbtiniai dantys atstatytų natūraliai žemėjantį sąkandį.

    Tai reiškia, kad pažangiais metodais atkurti dantų protezai ne tik užpildo tarpą, kurį sukuria prarastas dantis. Tuo pačiu dantų protezai pakelia sąkandžio aukštį, atstato nuosavų dantų nudilimus.

    Todėl šiuolaikiniais protezavimo metodais užtikrinimas optimalus kramtymo komfortas, tausojamas žandikaulio kaulas, smilkininis sąnarys, kiti burnos ertmės audiniai.

    Be to, dantų protezavimas anksčiau buvo planuojamas mažiau tiksliai metodais. Dabar dantų protezavimas planuojamas keliais matmenimis: atliekamas 3D skenavimas ir nuimami įprastiniai dantų atspaudai. Dėl preciziško planavimo šiuolaikiniai dantų protezai yra tikslesni, atitinkamai – patogesni.

    Seni dantų protezai ir periodonto ligos

    Seni dantų protezai yra rizikos veiksnys, dėl kurio gali kilti periodonto ligos. Dėl natūralaus nusidėvėjimo, nuosavų dantų migravimo, netikslių gamybos metodų seni dantų protezai idealiai nepriglunda prie dantenų. Tarp jų ir protezų atsiranda plyšeliai, kuriuos sunku gerai išvalyti, juose kaupiasi bakterinės apnašos.

    Jei paciento individuali dantų higiena yra prastesnė, susidaro terpė dantenų ligų sukėlėjams. Dantenų uždegimas, periodontitas (parodontozė) – nemalonus, bet dažnas šalutinis poveikis, kurį kelia seniai pagaminti dantų protezai.

    Šiuolaikiniais metodais, kuriais atliekamas dantų protezavimas, atkuriamas ne tik prarasto danties vainikas. Siekiant harmoningos šypsenos, formuojamos dantenos. Dantenų formavimą atlieka laikinos dantų karūnėlės: jos tvirtinamos pereinamuoju laikotarpiu iki nuolatinio protezavimo, stebima, kaip į karūnėles reaguoja dantenos, ir, esant poreikiui, koreguojama dantenų linija.

    Tai reiškia, kad siekiama optimalios dantų vainikų ir minkštųjų audinių proporcijos, audinių anatomija atkuriama taip, kad tarp protezų ir dantenų nesiformuotų tarpeliai.

    Pažangus dantų protezavimas

    Dantų protezavimas ir implantai – dantų gydymo metodai, kurie nuolat tobulėja. Kuriamos ir tobulinamos naujos medžiagos, kurios pasižymi tvirtumu ir tuo pačiu – idealiu natūralios dantų anatomijos atkūrimu. 3D technologijų pagalba pagaminti protezai pacientui užtikrina daugiau komforto.

    Šiuolaikinės technologijos suteikia daugybę privalumų, kuriais pasižymi pažangus dantų protezavimas:

    • Preciziškas tikslumas;
    • Idealus natūralių dantų formos, simetrijos, spalvos atkūrimas;
    • Tausojamas žandikaulio kaulas, dantenos ir kiti minkštieji audiniai;
    • Komforto jausmas burnoje.

    Kompleksinis dantų gydymas: keičiami seni dantų tiltai

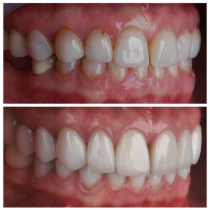
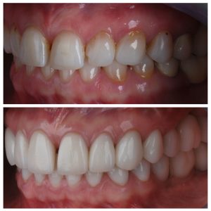
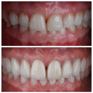
    Dalijamės pacientės istorija, kai senas dantų protezavimas buvo pakeistas nauju. Pacientė jautė dantų skausmą, netenkino senų dantų protezų estetika.

    Kompleksinis dantų gydymas, kurio planą sudarė gyd. odontologė – ortopedė Jolanta Leškevičiūtė, atliktas keliais etapais.

    1. Pasiruošimas gydymui:
    • Senų dantų tiltų nupjovimas
    • Laikinų vainikėlių tvirtinimas
    1. Burnos chirurgija:
    • Paslankaus danties rovimas | odontologė – periodontologė Irena Zykuvienė
    • Giluminis dantenų kišenių valymas (kiuretažas) | Irena Zykuvienė
    • Sinuso pakėlimas | burnos, veido ir žandikaulių Indrė Zykutė-Bružienė
    • Dantų implantai | Indrė Zykutė-Bružienė
    1. Funkcinis dantų plombavimas
    • Sąkandžio aukščio atstatymas: šoninių ir priekinių dantų plombavimas
    1. Nuolatinis dantų protezavimas, atkuriant prarastą sąkandžio aukštį
      • 8 dantų laminatės viršutiniame žandikaulyje | gyd. odontologė – ortopedė Jolanta Leškevičiūtė
      • 8 dantų laminatės apatiniame žandikaulyje | Jolanta Leškevičiūtė
      • Dantų karūnėlės ant implantų šoninių dantų srityje | Jolanta Leškevičiūtė
    1. Pasiekto rezultato užtvirtinimas:

    Dantų vainikėlis ir dantų laminatės ant pacientės dantų Dantų karūnėlės ant šoninių dantų prieš ir po gydymo Dantų protezai ir laminatės ant pacientės dantų Dantų laminatės ant priekinių dantų prieš ir po gydymo Dantų laminatės prieš ir po gydymo Dantų protezai ant pacientės dantų Dantų karūnėlės prieš ir po gydymo Pacientės šypsena su dantų protezais

    Daugiau mūsų atkurtų šypsenų peržiūrėkite čia:

     

    Sekite mus socialiniuose tinkluose:

    Registruokitės vizitui

    Rezultatų nerasta