Cirkonio dantys ir periodontito gydymas: atkurta visų dantų estetika

Cirkonio dantys – tai dantų atkūrimo metodas cirkonio keramika, iš kurios gaminamos dantų karūnėlės. Dantų karūnėlės yra optimalus sprendimas, kai dėl nudilimų, karieso ir amžinių pažeidimų dantų emalis negali būti atkurtas estetiniu plombavimu. Kokybiškai suprotezuoti cirkonio dantys atrodo itin natūraliai: atstatomas sąkandžio aukštis, dantų funkcija ir estetika.

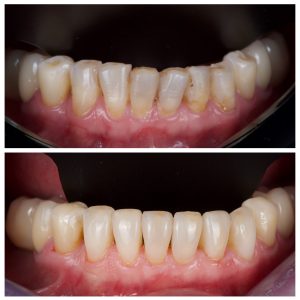
Cirkonio dantys pacientės burnoje

    Pacientės istorija: seniai atliktas dantų protezavimas

    Dalijamės pacientės istorija, kuriai šoninių ir viršutinių priekinių dantų protezavimas atliktas kokybiška cirkonio keramika.

    Pacientė kreipėsi dėl šių problemų:

    • Prastas estetinis vaizdas;
    • Amžinis dantų nudilimas ir nusidėvėjimas;
    • Pažengęs dantenų uždegimas.

    Šias problemas lėmė:

    • Prieš daugelį metų atliktas dantų ir estetinis plombavimas;
    • Nekokybiškas dantų protezavimas;
    • Negydytas lėtinis periodontitas ir periimplantitas.

    Kompleksinis dantų gydymas ir cirkonio keramika

    Suteiktas kompleksinis dantų gydymas, kuriam gydymo planą sudarė gyd. odontologė – ortopedė Eglė Viliuvienė:

    I etapas | periodonto ligos gydymas

    Veiksmingas ir kokybiškas dantenų uždegimo gydymas leido planuoti tolesnius etapus. Uždegiminės dantenos kėlė diskomfortą burnoje, keitė šypsenos estetinį vaizdą, turėjo įtakos prastėjančiai dantų būklei.

    II etapas | paruošiamasis ir terapinis dantų gydymas

    • Nuimtos senos cementuotos dantų karūnėlės, fiksuoti laikini dantų vainikėliai | gyd. odontologė – ortopedė Eglė Viliuvienė
    • Periimplantito gydymas | gyd. odontologė – periodontologė Irena Zykuvienė
    • Danties vainiko prailginimas su kaulo redukcija | gyd. odontologė – periodontologė Irena Zykuvienė
    • Dantenų storinimas | burnos chirurgas Abdulla Varoneckas
    • Dantų kanalų gydymas | gyd. odontologė – endodontologė Monika Vanagaitė
    • Dantų karieso gydymas | gyd. odontologė – periodontologė Irena Zykuvienė

    III etapas | dantų protezavimas (cirkonio dantys)

    • Viršutinių priekinių dantų ir implanto protezavimas | Eglė Viliuvienė
    • Apatinių šoninių dantų perprotezavimas (cirkonio keramika, dantų karūnėlės) | Eglė Viliuvienė
    • Apatinių priekinių dantų estetinis plombavimas naujame aukštyje | gyd. odontologė Iveta Miliauskienė

    Cirkonio dantys pacientės burnoje Šoniniai cirkonio dantys prieš ir po Priekiniai cirkonio dantys prieš ir po Cirkonio keramika ant šoninių dantų Apatinių dantų estetinis plombavimas prieš ir po

    Gydymo, kurį sudaro cirkonio dantys, kaina

    Gydymo, kurį sudaro cirkonio dantys, kaina priklauso nuo danties, kuris atkuriamas cirkonio keramika:

    • Vietos burnoje (priekinių dantų vainikėlis yra brangesnis nei šoninių dantų karūnėlės);
    • Danties šaknies: nuosavas dantis ar implantas (vainikėlis ant implanto yra brangesnis nei vainikėlis ant nuosavo danties);
    • Protezuojamų dantų skaičiaus (pavienis dantų vainikėlis yra brangesnis);
    • Apimties (pilno kontūro vainikėlis yra brangesnis nei pusinis).

    Kai protezuojami cirkonio dantys, vieno danties vainikėlio kaina priekinių dantų srityje yra 600 – 700 eurų. Kai cirkonio dantys tvirtinami ant implanto, vieno danties vainikėlio kaina yra 650 – 900 eurų.

    Sekite mus socialiniuose tinkluose:

    Registruokitės vizitui

    Rezultatų nerasta